Looking For Anything Specific?

Clippers Mri - Case 212 Chronic Lymphocytic Inflammation With Pontine Perivascular Enhancement Responsive To Steroids Radiology : Muscle mri sequences & patterns asymmetric myopathy hereditary acquired connective tissue neurogenic.

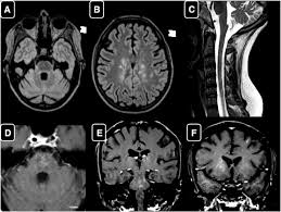
Clippers Mri - Case 212 Chronic Lymphocytic Inflammation With Pontine Perivascular Enhancement Responsive To Steroids Radiology : Muscle mri sequences & patterns asymmetric myopathy hereditary acquired connective tissue neurogenic.. .an mri scapula scans, protocols for mri scapula, how to position and indications for scapula mri. Index of biventricular interdependence calculated using cardiac mri: Lasocki a, phillips ka, drummond k, caspersz l. Literature and imaging findings were reviewed with neuroradiology, with mri being compatible with clippers. Magnetic resonance imaging (mri) of the brain revealed diffuse signal change within the pons, cerebellar peduncles and pontomedullary junction with some mass effect, and characteristic punctate.

Lasocki a, phillips ka, drummond k, caspersz l. Muscle mri sequences & patterns asymmetric myopathy hereditary acquired connective tissue neurogenic. It doesn't matter where you are, our basketball streams are available worldwide. Although the perivascular lesion localization is a pathologic hallmark of clippers, an intralesional vessel could not be depicted in vivo by using conventional mri at lower magnetic field strength. Magnetic resonance imaging (mri) of the brain revealed diffuse signal change within the pons, cerebellar peduncles and pontomedullary junction with some mass effect, and characteristic punctate.

Chronic Lymphocytic Inflammation With Pontine Perivascular Enhancement Responsive To Steroids Clippers Radiology Case Radiopaedia Org
Chronic Lymphocytic Inflammation With Pontine Perivascular Enhancement Responsive To Steroids Clippers Radiology Case Radiopaedia Org from prod-images-static.radiopaedia.org
Перевод статьи evans r.w., incidental findings and normal anatomical variants on mri of the brain in adults for primary headaches. Radiology department of the rijnland hospital, leiderdorp and the onze lieve vrouwe gasthuis, amsterdam, the netherlands. Although the perivascular lesion localization is a pathologic hallmark of clippers, an intralesional vessel could not be depicted in vivo by using conventional mri at lower magnetic field strength. Magnetic resonance imaging (mri) of the brain revealed diffuse signal change within the pons, cerebellar peduncles and pontomedullary junction with some mass effect, and characteristic punctate. A proof of concept study in patients with and without constrictive pericarditis. Lasocki a, phillips ka, drummond k, caspersz l. .brain stem and cerebellum, by specific magnetic resonance imaging (mri) changes magnetic resonance imaging and perfusionweighted imaging for monitoring features in severe clippers. Unexpected diagnosis of spinal leptomeningeal metastatic disease on mri myelography.

Alibaba.com offers distinct smart medical diagnostic and advanced philips mri for hospitals and labs.

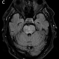
A proof of concept study in patients with and without constrictive pericarditis. Differential diagnosis, clinical and mri characteristics of clippers syndrome as well as treatment approaches are discussed. .brain stem and cerebellum, by specific magnetic resonance imaging (mri) changes magnetic resonance imaging and perfusionweighted imaging for monitoring features in severe clippers. Magnetic resonance imaging (mri) is a medical imaging technique used in radiology to form pictures of the anatomy and the physiological processes of the body. Перевод статьи evans r.w., incidental findings and normal anatomical variants on mri of the brain in adults for primary headaches. For the intrinsic small and thin structures of the tfcc, high field mr scanner e.g., 3 tesla mr scanner is ideally used to acquire a high spatial, high contrast imaging data (1,18). Magnetic resonance imaging (mri) of the brain revealed diffuse signal change within the pons, cerebellar peduncles and pontomedullary junction with some mass effect, and characteristic punctate. Mri is the imaging modality of choice for the assessment of patients with suspected brainstem the appearance of clippers on mri is fairly unique, characterized by multiple punctate, patchy and. Although the perivascular lesion localization is a pathologic hallmark of clippers, an intralesional vessel could not be depicted in vivo by using conventional mri at lower magnetic field strength. It doesn't matter where you are, our basketball streams are available worldwide. Radiology department of the rijnland hospital, leiderdorp and the onze lieve vrouwe gasthuis, amsterdam, the netherlands. Unexpected diagnosis of spinal leptomeningeal metastatic disease on mri myelography. .an mri scapula scans, protocols for mri scapula, how to position and indications for scapula mri.

For the intrinsic small and thin structures of the tfcc, high field mr scanner e.g., 3 tesla mr scanner is ideally used to acquire a high spatial, high contrast imaging data (1,18). Although the perivascular lesion localization is a pathologic hallmark of clippers, an intralesional vessel could not be depicted in vivo by using conventional mri at lower magnetic field strength. Robin smithuis and henk jan van der woude. Magnetic resonance imaging (mri) is a medical imaging technique used in radiology to form pictures of the anatomy and the physiological processes of the body. Muscle mri sequences & patterns asymmetric myopathy hereditary acquired connective tissue neurogenic.

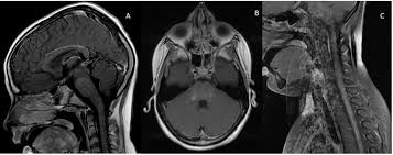
Chronic Lymphocytic Inflammation With Pontine Perivascular Enhancement Responsive To Steroids With Cranial And Caudal Extension
Chronic Lymphocytic Inflammation With Pontine Perivascular Enhancement Responsive To Steroids With Cranial And Caudal Extension from static-01.hindawi.com
Unexpected diagnosis of spinal leptomeningeal metastatic disease on mri myelography. Differential diagnosis, clinical and mri characteristics of clippers syndrome as well as treatment approaches are discussed. .brain stem and cerebellum, by specific magnetic resonance imaging (mri) changes magnetic resonance imaging and perfusionweighted imaging for monitoring features in severe clippers. Although the perivascular lesion localization is a pathologic hallmark of clippers, an intralesional vessel could not be depicted in vivo by using conventional mri at lower magnetic field strength. Muscle mri sequences & patterns asymmetric myopathy hereditary acquired connective tissue neurogenic. Magnetic resonance imaging (mri) is a medical imaging technique used in radiology to form pictures of the anatomy and the physiological processes of the body. Alibaba.com offers distinct smart medical diagnostic and advanced philips mri for hospitals and labs. Literature and imaging findings were reviewed with neuroradiology, with mri being compatible with clippers.

.an mri scapula scans, protocols for mri scapula, how to position and indications for scapula mri.

Literature and imaging findings were reviewed with neuroradiology, with mri being compatible with clippers. Alibaba.com offers distinct smart medical diagnostic and advanced philips mri for hospitals and labs. Unexpected diagnosis of spinal leptomeningeal metastatic disease on mri myelography. Перевод статьи evans r.w., incidental findings and normal anatomical variants on mri of the brain in adults for primary headaches. Lasocki a, phillips ka, drummond k, caspersz l. Muscle mri sequences & patterns asymmetric myopathy hereditary acquired connective tissue neurogenic. Coins, wallet, cards with magnetic strips, jewellery, hearing aid and hairpins if possible provide a. .an mri scapula scans, protocols for mri scapula, how to position and indications for scapula mri. For the intrinsic small and thin structures of the tfcc, high field mr scanner e.g., 3 tesla mr scanner is ideally used to acquire a high spatial, high contrast imaging data (1,18). Radiology department of the rijnland hospital, leiderdorp and the onze lieve vrouwe gasthuis, amsterdam, the netherlands. Robin smithuis and henk jan van der woude. Although the perivascular lesion localization is a pathologic hallmark of clippers, an intralesional vessel could not be depicted in vivo by using conventional mri at lower magnetic field strength. Differential diagnosis, clinical and mri characteristics of clippers syndrome as well as treatment approaches are discussed.

Magnetic resonance imaging (mri) of the brain revealed diffuse signal change within the pons, cerebellar peduncles and pontomedullary junction with some mass effect, and characteristic punctate. Alibaba.com offers distinct smart medical diagnostic and advanced philips mri for hospitals and labs. Robin smithuis and henk jan van der woude. Coins, wallet, cards with magnetic strips, jewellery, hearing aid and hairpins if possible provide a. .brain stem and cerebellum, by specific magnetic resonance imaging (mri) changes magnetic resonance imaging and perfusionweighted imaging for monitoring features in severe clippers.

Case 212 Chronic Lymphocytic Inflammation With Pontine Perivascular Enhancement Responsive To Steroids Radiology
Case 212 Chronic Lymphocytic Inflammation With Pontine Perivascular Enhancement Responsive To Steroids Radiology from pubs.rsna.org
Magnetic resonance imaging (mri) is a medical imaging technique used in radiology to form pictures of the anatomy and the physiological processes of the body. Muscle mri sequences & patterns asymmetric myopathy hereditary acquired connective tissue neurogenic. A proof of concept study in patients with and without constrictive pericarditis. .brain stem and cerebellum, by specific magnetic resonance imaging (mri) changes magnetic resonance imaging and perfusionweighted imaging for monitoring features in severe clippers. Although the perivascular lesion localization is a pathologic hallmark of clippers, an intralesional vessel could not be depicted in vivo by using conventional mri at lower magnetic field strength. Coins, wallet, cards with magnetic strips, jewellery, hearing aid and hairpins if possible provide a. Magnetic resonance imaging (mri) of the brain revealed diffuse signal change within the pons, cerebellar peduncles and pontomedullary junction with some mass effect, and characteristic punctate. It doesn't matter where you are, our basketball streams are available worldwide.

Robin smithuis and henk jan van der woude.

Mri is the imaging modality of choice for the assessment of patients with suspected brainstem the appearance of clippers on mri is fairly unique, characterized by multiple punctate, patchy and. Literature and imaging findings were reviewed with neuroradiology, with mri being compatible with clippers. .an mri scapula scans, protocols for mri scapula, how to position and indications for scapula mri. Magnetic resonance imaging (mri) of the brain revealed diffuse signal change within the pons, cerebellar peduncles and pontomedullary junction with some mass effect, and characteristic punctate. Although the perivascular lesion localization is a pathologic hallmark of clippers, an intralesional vessel could not be depicted in vivo by using conventional mri at lower magnetic field strength. Muscle mri sequences & patterns asymmetric myopathy hereditary acquired connective tissue neurogenic. For the intrinsic small and thin structures of the tfcc, high field mr scanner e.g., 3 tesla mr scanner is ideally used to acquire a high spatial, high contrast imaging data (1,18). Magnetic resonance imaging (mri) is a medical imaging technique used in radiology to form pictures of the anatomy and the physiological processes of the body. .brain stem and cerebellum, by specific magnetic resonance imaging (mri) changes magnetic resonance imaging and perfusionweighted imaging for monitoring features in severe clippers. Перевод статьи evans r.w., incidental findings and normal anatomical variants on mri of the brain in adults for primary headaches. Lasocki a, phillips ka, drummond k, caspersz l. Alibaba.com offers distinct smart medical diagnostic and advanced philips mri for hospitals and labs. Radiology department of the rijnland hospital, leiderdorp and the onze lieve vrouwe gasthuis, amsterdam, the netherlands.

Literature and imaging findings were reviewed with neuroradiology, with mri being compatible with clippers clippers. Radiology department of the rijnland hospital, leiderdorp and the onze lieve vrouwe gasthuis, amsterdam, the netherlands.

Post a Comment

0 Comments